Banner 1

MRT - Kernspintomographie

Anmeldung

Zum Anmeldeformular

Radiologisches Zentrum am Kaufhof eGbR
U. Meiners, Dr. K. Bödeker,
Dr. C. Bredow, J. Freise, J. Wien
Radiologen - Radiologin
Marlistr. 112 * 23566 Lübeck
Tel 0451-61096-0
Fax 0451-61096-55
info(at)radiologen-luebeck.de
www.radiologen-luebeck.de

Sprechstunden

Mo, Di, Do 8-17 Uhr
Mi 8-13 Uhr, Fr 8-15 Uhr
Außerhalb der Sprechstunden:
Patientenservice Tel. 116 117

Die Kernspintomographie, auch Magnet-Resonanz-Tomographie (MRT) genannt, ist ein modernes Diagnoseverfahren, welches Bilder des menschlichen Körpers durch Magnetfelder und Radiowellen erzeugt und krankhafte Veränderungen sichtbar macht. Schädliche Röntgenstrahlen kommen dabei nicht zur Anwendung.

Was die MRT leistet ...

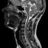
MRT Kopf-Hals

Nervensystem

Gehirn, Rückenmark, Nerven

MRT Oberbauch

Innere Organe

Herz, Leber, Gallenwege, Bauchspeicheldrüse, Nieren, Harnwege, Geschlechtsorgane

Was die MRT leistet ...

MR Mammographie

Weibliche Brust

Dynamische Kontrastmittel-MRT der Brust

MR Angiographie

Herz und Blutgefäße

Darstellung der Schlagadern ohne Katheter, Jodkontrastmittel oder Röntgenstrahlen

Ganzkörper-MRT

Ganzkörper MRT

Darstellung des ganzen Körpers für Vorsorge und Krebsdiagnostik

Mehr zur MRT- Technik ...

Magnetismus der Wasserstoffatome

So entstehen die MRT-Bilder

Hervorhebung von Gewebearten

Darstellung der Körpergewebe

Gewebedifferenzierung

Aufdecken krankhafter Veränderungen

Der Kernspintomograph

Das medizinische Großgerät

Sicherheit

Welche Risiken die MRT hat und wann sie nicht durchgeführt werden kann

MRT bei Adipositas

Ablauf Schritt für Schritt

So läuft eine Kernspintomographie ab.